Vital Signs monitors
Allows O2, ECG, blood pressure and Spo2 in real time measurements in graphical and numerical measurements and continuous measurements. Contineous monitoring allows Doctors and clinicians to make vital decisions for patients.




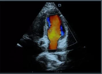
Vascular and cardiology ultrasound examinations requires use of Colour flow Duplex. Ultrasound is a cost effective scanning technique. Scans are performed using High and Low frequency Linear transducers for the real time ultrasound. For Colour Doppler and Pulse wave Doppler Examinations, Linear ultrasound probes are used for the study of the carotid diseases, DVT, possible transient Ischemic attack, assessment of patients with stroke, and conditions of systemic arterial hypertension etc. Transcranial Doppler is a valuable tool for monitoring cerebral blood flow.
Whilst use of Ultrasound for Biopsy procedures, Peri-operative ultrasound guided injections and Neurosurgical procedures are widely used by trained clinicians.
Recommended Ultrasound Machines
Piloter
Clover
Handheld Probes with USB connection to mobile phone
QMTI
PACS
2-18 MHz
Our portable or mobile ultrasound scanners are designed with image review and recording Includes image archiving facilities post measurements and PACS are easy to use systems for trained and for training purposes for professional sonographers, vascular technologists, echocardiographers, vascular surgeons, physicians, nurses, vascular lab technicians.

